The use of photo documentation in ENT clinics is becoming more common as technological advances have made the hardware required more accessible. There is significant variation in the price of products. Daniel Moualed, Olivia Whiteside and Chris Aldren review the performance of some of the options available.
The ability to capture and record photographic images of tympanic membranes in routine clinical practice has several distinct advantages over hand-drawn representations. Photographs are helpful when explaining unfamiliar concepts to patients and can be a valuable aid when discussing treatment options. Photo documentation is essential for accurately monitoring evolving pathologies, such as tympanic membrane retraction, where subtle changes over time could be easily missed or overlooked when relying on drawings alone. Finally, photographs also provide a precise, contemporaneous record for medico-legal purposes.
A range of set-ups are possible depending on whether the equipment is integrated into a static console or designed to be portable, and whether the images are printed immediately or stored digitally. The number of portable systems available has increased in recent years and this type of device is likely to appeal to clinicians working across multiple locations. Some products are complete systems whereas others require a compatible smartphone and/or endoscope.
“The best images were obtained with the Endoscope-i (+ iPhone 7) and Syncvision systems, while the digital camera and Firefly also provided very good quality images.”
Five commercially available products were compared alongside each other in a simulated clinical environment. The Endoscope-i and Cupris TYM are both smartphone-based devices (they require a compatible i-Phone) which offer the cheapest options on test. The Endoscope-i requires an additional endoscope and light source, whereas the Cupris TYM does not. The Firefly DE1250 is a wireless camera system that also attaches to an endoscope and light source. A Nikon P5100 compact digital camera with adapters is included for comparison. Finally, the Syncvision is a self-contained complete system.
Three ENT surgeons tested the devices on each other and independently rated the products for ease of use, and field of view. The best images captured were then collected (six ears for each device), randomised, and distributed to five ENT surgeons for independent and ‘blinded’ grading of image quality.
Cupris-TYM - otoscopy image.
Cupris - TYM
Type: Smartphone otoscope adapter for iPhone 5/6 Captures images + videos
Cost: £129
Image quality: 32%
Field of view: 42%
Ease of use: 58%
Comments: The images taken were mostly too dark and lacking in colour (tested with iPhone 6s). The picture was too zoomed in, due to a poor field of view, which made it difficult to navigate the tympanic membrane and get representative images. This product does have the advantage of not requiring any additional equipment, such as endoscopes or light sources, which is useful in low resource settings [1].

Endoscope-i - otoscopy image.
Endoscope-i **BEST VALUE**
Type: Endoscope adapter for iPhone 5/6/7/8/X (requires endoscope + light source) Captures images + videos
Cost: £99
Image quality: 87%
Field of view: 100%
Ease of use: 58%
Comments: Overall excellent image quality and field of view (tested with iPhone 7). Somewhat awkward for photo use due to the distance of the capture button from the endoscope attachment position. This resulted in a tendency for movement at the moment of photo taking. This was not a problem for videos which could be started and then a more comfortable grip found.

Firefly DE1250 - otoscopy image.
Firefly - DE1250
Type: Wireless endoscopic camera (requires endoscope + light source) Captures images + videos
Cost: £780
Image quality: 75%
Field of view: 100%
Ease of use: 71%
Comments: Good image quality, but also does not have the image capture button in the ideal position as it is too far from endoscope attachment. The live stream to laptop feature is a useful aid to communication, as it allows images or videos to be projected in real time on to a screen visible to the patient during the examination.

Nikon P5100 - otoscopy image.
Digital camera + adapters
Type: Nikon P5100 Compact (12 megapixel) (requires endoscope + light source)
Cost: Nikon Ur-e20 adapter = £49 Storz 590-70 coupling = £172
Image quality: 80%
Field of view: 100%
Ease of use: 95%
Comments: This camera model is no longer available but was included in the test for comparative purposes as it was already in use in our department. Adapters can be purchased for most digital cameras and offer an alternative to bespoke products. Digital cameras provide very good image quality and are exceptionally easy to use due to ergonomic and intuitive camera controls.

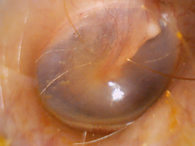
Syncvision iO1 OTO - otoscopy image.
Syncvision - iO1 OTO **BEST TESTED**
Type: Complete system Captures images only
Cost: £780 (incl. shipping + tax)
Image quality: 85%
Field of view: 93%
Ease of use: 93%
Comments: Excellent image quality, and very easy to use. The Syncvision is designed to be held vertically, although holding it horizontally as for an otoscope feels more natural. Very quick to set up and use, and the capture is button conveniently placed. Has the advantage of not requiring any additional equipment.

Cupris TYM in use.

Syncvision iO1-OTO in use.

Nikon P5100 with adapters + endoscope attached.
Conclusion
The best images were obtained with the Endoscope-i (+ iPhone 7) and Syncvision systems, while the digital camera and Firefly also provided very good quality images. The Cupris TYM is the only product on test not to utilise an endoscope, and the image quality suffers noticeably as a result - the increased distance from the lens to the tympanic membrane narrows the field of view which makes obtaining good quality images challenging.
The most ergonomic and easy to use products were the Syncvision and our digital camera with endoscope adapters. These easy-to-hold devices allow images to be taken with minimal movement on button pressing and so pictures are reliably of good quality. The other three systems required some adjustment of hand position from the most natural grip to press the capture button, which resulted in slight instability and occasional blurred or off-centre images.
“The most ergonomic and easy to use products were the Syncvision and our digital camera with endoscope adapters.”
The Syncvision offers a complete package without the need for additional endoscopes or light sources, it takes good quality photos and is easy to use, and for that reason is rated as our best tested product. For those with a compatible iPhone, the Endoscope-i is our best value product as it can be used alongside endoscopes commonly available in clinical practice and the high-quality camera ensures excellent pictures.
SUMMARY
-
Otoscopy photographs provide a more accurate record of tympanic membranes than hand-drawn diagrams and should be regarded as the gold-standard in documentation.
-
When deciding which option to buy, the costs of these devices must be considered as well as any equipment already available such as compatible smartphones, endoscopes, or a digital camera.
-
Clinicians should be aware of and adhere to information governance guidance regarding the use and storage of digital information that forms part of a patient’s medical records:
www.digital.nhs.uk/data-security-
information-governance
Acknowledgements:
We would like to thank Mr Ian Bottrill, and Mr John Phillips for helping with this review by scoring the photos taken during testing.
References:
1. Falls C. Connecting healthcare - in conversation with Julian Hamann. ENT & Audiology News 2017;26(3):109-10.
Declaration of competing interests: None declared.
‘Spotlight on Innovation’ is an informative section to provide insight and discussion on recent advances in technology and research and does not imply endorsement by ENT and Audiology News.
